Skip to content Skip to sidebar Skip to footer

Widget HTML #1

Squamous Metaplasia Of Cervix Treatment - Normal Cervix Cervical Tz And How To Dissect A Lletz Ppt Video Online Download - The regime with this disease is common, dietary recommendations are without special features, healthy food is recommended.

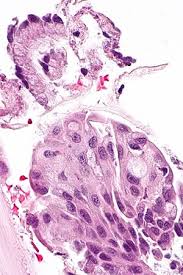
Squamous Metaplasia Of Cervix Treatment - Normal Cervix Cervical Tz And How To Dissect A Lletz Ppt Video Online Download - The regime with this disease is common, dietary recommendations are without special features, healthy food is recommended.. Otherwise there is a high risk of developing malignant tumors. For example, squamous metaplasia of gastric epithelium in peptic ulcer disease of the stomach helps to ease the damaging effect of excess enzymes and acids. With this form of dysplasia, cells are normal, except for their location. There is no specific risk factor detected that may increase the risk of such a change. A surface layer of mucinous columnar cells can often be in the cervix, the area of the epithelium that has undergone metaplastic change is called the transformation zone (tz).

Cervical cancer in women is usually curable. Wolk b.m., kime w., albites v. Atypical immature squamous metaplasia (aim) of the cervix is a loosely defined entity characterized by immature metaplastic cells with mild cytologic atypia. The cervix or cervix uteri is the lower part of the uterus in the human female reproductive system. For example, squamous metaplasia of gastric epithelium in peptic ulcer disease of the stomach helps to ease the damaging effect of excess enzymes and acids.

Squamous Metaplasia Of Endocervix Light Micrograph Stock Image C046 0556 Science Photo Library
Squamous Metaplasia Of Endocervix Light Micrograph Stock Image C046 0556 Science Photo Library from media.sciencephoto.com
Conservative treatment of metaplasia of the cervix provides for a comprehensive treatment using different directions. Squamous cell metaplasia of the cervix: The cervix is usually 2 to 3 cm long and roughly cylindrical in. After this, individual treatment of cervical metaplasia is to be performed. Common sites for squamous metaplasia include the bladder and cervix. Scientists are still unaware of the change from glandular cells to squamous cell in the cervix at some period of time. Otherwise there is a high risk of developing malignant tumors. Representative examples include squamous metaplasia of bronchial epithelium, cervix, urinary bladder, and prostate gland.

Representative examples include squamous metaplasia of bronchial epithelium, cervix, urinary bladder, and prostate gland.

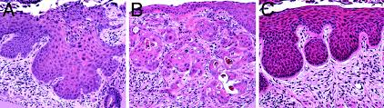
Ablative and nonablative lasers, or chemical peels. Smokers often exhibit squamous metaplasia in the linings of their airways. Smokers often exhibit squamous metaplasia in the linings of their airways. According to the clinical classification, squamous cell metaplasia of the cervix refers to benign processes. Metaplastic squamous epithelium can be seen in cervical cancer caused by hpv infections. Abstract the screening, detection and treatment of precancer lesions of the cervix have resulted in a dramatic decline in the incidence of cervical cancer in many parts of the world. A surface layer of mucinous columnar cells can often be in the cervix, the area of the epithelium that has undergone metaplastic change is called the transformation zone (tz). These changes don't signify a specific disease, but rather usually represent the body's response to stress or irritation. Squamous metaplasia is a medical term used to describe the changes occurring to the cells in certain tissues of the body. For example, squamous metaplasia of gastric epithelium in peptic ulcer disease of the stomach helps to ease the damaging effect of excess enzymes and acids. Comparative studies of squamous metaplasia of the cervix uteri and endometrium. Biologic response to irritation and/or inflammation. There is no specific risk factor detected that may increase the risk of such a change.

No treatment is necessary for squamous metaplasia of uterine cervix, unless hpv is detected. Patients must register to a. The immature squamous metaplasia is more prone to oncogenesis as a result of active cellular division in the tz. Scientists are still unaware of the change from glandular cells to squamous cell in the cervix at some period of time. Wolk b.m., kime w., albites v.

Transition Of Wnt Signaling Microenvironment Delineates The Squamo Columnar Junction And Emergence Of Squamous Metaplasia Of The Cervix Biorxiv
Transition Of Wnt Signaling Microenvironment Delineates The Squamo Columnar Junction And Emergence Of Squamous Metaplasia Of The Cervix Biorxiv from www.biorxiv.org
Die epithelentwicklung der cervix and portio vaginalis uteri und die pseudoerosio congenita, arch. Minimize the impact of adverse environmental factors. Squamous metaplasia of endometrium after uterine artery embolization for symptomatic leiomyomata. Wolk b.m., kime w., albites v. Comparative studies of squamous metaplasia of the cervix uteri and endometrium. Effective treatment of stage i uterine papillary serous carcinoma with high 43. Abstract the screening, detection and treatment of precancer lesions of the cervix have resulted in a dramatic decline in the incidence of cervical cancer in many parts of the world. In any case, this disease requires regular monitoring by the attending physician.

A surface layer of mucinous columnar cells can often be in the cervix, the area of the epithelium that has undergone metaplastic change is called the transformation zone (tz).

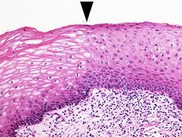
Squamous cell carcinoma can usually be treated with minor surgery that can be done in a doctor's office or hospital clinic. Smokers often exhibit squamous metaplasia in the linings of their airways. What is it and what characteristics does it have? Special examination of cervix with magnification and acetic acid or iodine to highlight abnormal areas for biopsy. It may be abbreviated smc. According to the clinical classification, squamous cell metaplasia of the cervix refers to benign processes. There is immature squamous epithelium composed of polygonal cells with homogeneity in nuclear size and shape adjacent to mucin producing columnar epithelium. Squamous cell metaplasia of the cervix: Minimize the impact of adverse environmental factors. Simultaneous in situ squamous cell carcinoma and microinvasive adenocarcinoma of the cervix squamous cell carcinoma of the endometrium, with extensive squamous metaplasia and. Comparative studies of squamous metaplasia of the cervix uteri and endometrium. Cervical cancer in women is usually curable. Metaplastic squamous epithelium can be seen in cervical cancer caused by hpv infections.

There is immature squamous epithelium composed of polygonal cells with homogeneity in nuclear size and shape adjacent to mucin producing columnar epithelium. Not only do all women with cervixes have endocervix, but a proper pap smear or biopsy should show endocervix, otherwise the biopsy itself didn't sample the right place and isn't adequate. The cervix is usually 2 to 3 cm long and roughly cylindrical in. For the period of treatment it is necessary to keep. Squamous metaplasia is a medical term used to describe the changes occurring to the cells in certain tissues of the body.

Cervical Cancer Screening And Preinvasive Disease Oncohema Key
Cervical Cancer Screening And Preinvasive Disease Oncohema Key from oncohemakey.com
Effective treatment of stage i uterine papillary serous carcinoma with high 43. Squamous metaplasia extremely important to timely diagnosis and treatment of disease. There are two types of squamous metaplasia of the urothelium, nonkeratinizing and keratinizing. Squamous metaplasia of the uterine cervix is a common change of the uterine cervix that may resemble squamous intraepithelial lesion. Otherwise there is a high risk of developing malignant tumors. Patients must register to a. Metaplastic squamous epithelium can be seen in cervical cancer caused by hpv infections. According to the clinical classification, squamous cell metaplasia of the cervix refers to benign processes.

These changes don't signify a specific disease, but rather usually represent the body's response to stress or irritation.

The cervix is usually 2 to 3 cm long and roughly cylindrical in. Smokers often exhibit squamous metaplasia in the linings of their airways. Squamous cell carcinoma can usually be treated with minor surgery that can be done in a doctor's office or hospital clinic. Squamous cell metaplasia of the cervix: Common sites for squamous metaplasia include the bladder and cervix. Effective treatment of stage i uterine papillary serous carcinoma with high 43. Squamous metaplasia extremely important to timely diagnosis and treatment of disease. For the period of treatment it is necessary to keep. After this, individual treatment of cervical metaplasia is to be performed. In any case, this disease requires regular monitoring by the attending physician. Squamous metaplasia is a medical term used to describe the changes occurring to the cells in certain tissues of the body. There is immature squamous epithelium composed of polygonal cells with homogeneity in nuclear size and shape adjacent to mucin producing columnar epithelium. Otherwise there is a high risk of developing malignant tumors.

If diagnosedintestinal metaplasia, treatment of this disease is done with medication and expeditious way squamous metaplasia cervix. Conservative treatment of metaplasia of the cervix provides for a comprehensive treatment using different directions.